Vous avez dit « serrer les dents »?
                     
                                                        
                    Le bruxisme est une problématique très fréquente, et il m’apparait être de plus en plus à considérer dans la prise en charge des patients et dans la compréhension du fonctionnement de leur organisme. Là comme ailleurs, l’ostéopathe peut avoir un autre regard que celui de la médecine conventionnelle sur la question.
J’ai souhaité par ce petit article, vous faire part de mes réflexions du moment. Les patients qui bruxent sont souvent la bête noire de leur dentiste, tant cela détériore à la longue le capital dentaire et met en péril certains traitements, notamment en implantologie.
Revenons rapidement aux définitions: le bruxisme est défini comme une parafonction -usage non physiologique d’un organe ou partie du corps, caractérisé par le fait de serrer les dents. Il peut être centré ou excentré (il s’agit alors de « grincer des dents »). Il peut se faire en journée, par exemple lors de l’activité professionnelle, ou de manière plus inconsciente, la nuit. Parfois, les patients n’en ont même pas conscience et ne l’apprennent que lorsque leur dentiste leur fait remarquer l’usure de leurs dents et le développement musculaire important de leurs masseters.

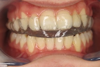
Des dents usées par le bruxisme (en haut)
source: www.clinadent.fr
C’est donc quelque chose de très courant mais qui s’exprime selon des intensités très variables en fonction des patients et des périodes de la vie.
Le diagnostic
Lorsqu’un patient est diagnostiqué « bruxomane », il lui est alors proposé par son médecin généraliste, son stomatologue ou son dentiste, de porter une gouttière (à double intention, pour mettre la mandibule dans une position de repos relatif et également pour protéger les dents de l’usure due aux frottements interdentaires), voir de consulter un kinésithérapeute ou un ostéopathe ayant une approche dans la sphère maxillo‑faciale. Dans les cas les plus sérieux, des injections de toxine botulique destinées à limiter l’action des muscles masticateur est envisagée.
Plus globalement, les praticiens doivent encourager leurs patients à essayer de comprendre d’où viennent les sources de stress et de tension dans la vie de manière à limiter leurs effets sur le corps. Des conseils d’hygiène de vie, sur la qualité du sommeil, de l’alimentation, et des exercices physiques sont vraiment nécessaires.

Un exemple de gouttière pouvant être prescrite
source: www.atm-guide.com
Des pistes explicatives
Il y a une correspondance entre certains états physiques, certains états psychiques et certaines expressions populaires: par exemple, on retrouve souvent « serrer les dents pour avancer », pour traverser une épreuve, etc.
Traduction physique d’une tension: on peut serrer par exemple des dents en réponse à une tension physique (exemple: je porte une armoire et dois serrer les dents pour solidariser les chaines musculaires), événement ponctuel. Mais je peux aussi avoir besoin de serrer les dents pour supporter une situation inextricable. C’est souvent un mécanisme de compensation inconscient qui permet à l’individu de faire face à une situation. Ce mécanisme peut avoir sa raison d’être à un moment donné, mais il ne doit pas s’installer durablement.
Il faut comprendre que le corps met en place, comme souvent, des tensions, des compensations pour se protéger. Concrètement, cela se traduit dans la physiologie du corps par des boucles de régulation qu’il nous est possible d’étudier au niveau du système nerveux.
Il est intéressant de penser, même si nous n’en avons pas directement la preuve scientifique, que la région oro‑maxillo‑faciale est très représentée au niveau du cerveau: un très grand nombre de neurones y sont affiliés, beaucoup plus que pour d’autres régions du corps. Il n’est donc pas inutile de penser qu’une augmentation de la tension générale du corps, lors d’un état de stress, aura un effet plus important sur celle‑ci.
Rappelons‑nous également l’innervation commune entre les feuillets méningés entourant le cerveau, la capsule de l’articulation temporo‑mandibulaire et les muscles de la mastication: le nerf trijumeau, ce qui nous laisse penser la relation centrale qu’il existe entre ces éléments. Dans des états de stress, de traumatisme, qu’ils soient physiques, chimiques ou autres, nous trouvons fréquemment en ostéopathie des problèmes de tension ou d’irritation au niveau des membranes méningées. Ces tensions méningées s’accompagnent la plupart du temps d’une hypertonie des muscles de la face et de la mastication, et également de la chaine musculaire antérieure (langue‑os hyoïde‑muscles cervicaux antérieurs et oesophage, en continuité jusqu’au diaphragme).
Le point de vue du praticien
Comme nous l’avons vu dans les articles précédents (notamment les dents et la posture), les contraintes mécaniques qui s’exercent sur le massif facial se transmettent directement au reste une crâne et à tout le corps: la colonne vertébrale, la cage thoracique, etc. C’est pour moi une des entrées majeures de phénomènes compressifs dans le corps, sur du long terme. Parfois, les patients le savent (soit leur dentiste leur a fait remarquer l’usure de leur dents, soit l’hypertrophie de leurs muscles masséters), souvent ils n’en ont pas tout à fait conscience. Ils peuvent néanmoins sentir que la mâchoire est crispée le matin au réveil, ils peuvent souffrir de maux de tête, de douleurs cervicales, d’épaules, ou tout simplement se sentir « très tendus » d’une manière générale.
Ce qui m’apparait fondamental aujourd’hui, c’est de considérer le bruxisme comme l’expression d’une tension générale (quelqu’en soit la cause); cette tension est une tension du système nerveux (voir l’article SNA et ostéopathie). Or, c’est bien au système nerveux que l’ostéopathie crânio‑maxillo‑faciale peut s’adresser. Lorsque l’ostéopathe pose ses mains sur le patient, il sent ces tensions… Dont le patient n’a pas forcément conscience. Comme nous l’avons vu précédemment, le corps accumule des tensions toute la vie durant, leurs effets peuvent se cristalliser dans certaines régions du corps, s’additionner entre elles, jusqu’au jour où le corps sature et ne peut plus compenser: c’est le moment où les symptômes apparaissent.
Ce qui est intéressant, c’est quand, avec quelques séances d’ostéopathie, le corps peut se libérer de certaines de ces tensions: au delà d’améliorer certains des symptômes dont souffre le patient, cela permet surtout d’installer un nouvel état d’équilibre du système nerveux. En d’autres termes, le patient se sent plus léger, plus détendu, plus ouvert: il a parfois l’impression de retrouver la sensation de l’état dans lequel il était auparavant, avant l’apparition des tensions dans son corps et dans sa vie. Cette sensation du corps doit tendre à s’installer sur le long terme, même s’il est parfois nécessaire d’établir un suivi, surtout quand les conditions de vie de la personne ne sont pas propices au repos et à l’équilibre.

source: www.news-medical.net
Une prise de conscience bien nécessaire
Pour résumer, donc, il est tout à fait nécessaire pour le patient de prendre conscience qu’il est sujet au bruxisme, d’où le rôle qu’ont les soignants à ce moment‑là. C’est en le sachant qu’il sera possible de faire en sorte de réduire ces phénomènes. La prise en charge allopathique est intéressante, surtout à mon sens quand le bruxisme est très intense, mais cette prise en charge se doit d’être complétée par des exercices pour pouvoir se détendre, des pratiques comme l’ostéopathie dont nous parlons pour libérer les tensions du corps, et une hygiène de vie qui va permettre au patient de limiter un maximum les états de stress et retrouver un état d’équilibre global au quotidien.
Une hypothèse clinique sur les champs électromagnétiques du corps
Pour ouvrir sur un aspect certainement peu considéré du mécanisme, nous pourrions parler de ce qu’il en est du bruxisme quant au champs électromagnétiques du corps.
En effet, il est communément admis par la science que le corps possède ses propres champs électromagnétiques, c’est à dire que le corps émet certaines ondes, certaines vibrations, qui nous permettent par exemple de réaliser des examens médicaux tels que l’éléctro‑encéphalogramme (EEG); on pourrait également citer la technologie de l’Imagerie par Résonance Magnétique (IRM) si utile actuellement dans le diagnostic des pathologies. Tout cela repose sur l’idée très simple que le corps humain n’est pas uniquement cette partie matérielle que nous voyons, mais qu’il existe des « ondes », des circulations plus subtiles, qu’ils nous est si difficile d’appréhender par notre raisonnement analytique. Pourtant, il existe bien un grand nombre de thérapeutique se basant sur ces champs électromagnétiques, pour ne citer que l’acupuncture, la médecine indienne, la thérapie par la polarité etc. Et une certaine forme d’ostéopathie (crânienne au sens large, disons).
Actuellement, mes pistes de traitement qui donnent les meilleurs résultats pour aider les patients bruxomanes incluent ce travail avec les champs éléctromagnétiques. Cela est bien sûr empirique, et je pense que nous n’avons pas tous les éléments scientifiques pour les analyser actuellement et mieux le comprendre, mais cela donne des résultats qui sont suffisamment probants en pratique pour que je les accepte et continue de les utiliser au cabinet.
L’idée est simple: lorsque je contacte un patient qui est dans une sursimulation du système nerveux sympathique (voir article SNA et ostéopathie), je peux ressentir très souvent comme une sorte de bourdonnement, de vibration, dans la partie haute du corps. C’est comme si le cerveau émet à ce moment un champ éléctrique très fort, qui semble parasiter le corps du patient. L’impression est que le « blocage », si on peut parler ainsi, ne se situe pas au niveau musculaire, sur un ptérygoidien ou un masséter par exemple, ou alors sur une compression temporomandibulaire avec un ligament latéral inflammatoire, mais à un niveau plus subtil. Lorsque, par mes techniques, les tensions finissent par se dénouer et qu’une impression de normalité gagne le patient, cette impression de bourdonnement s’est dissipé et, très souvent, le patient va mieux. Il ressent un apaisement sur le moment et il est très probable alors qu’il s’aperçoive au bout de quelques jours (ou semaines) que son bruxisme est moindre.
Je n’ai pas toutes les explications de ces phénomènes, mais je tâche d’utiliser tout ce qui me parait être utile pour aider mon patient. C’est une expérience de praticien qui n’a qu’une valeur empirique, mais je trouve ça suffisamment intéressant et efficace pour vous en faire part aujourd’hui. J’aime en tout cas l’idée que la « cause » du bruxisme, puisque c’est bien ça qui nous intéresse, soit dans quelque chose de plus subtil qu’un mauvais ajustement mécanique entre des pièces anatomiques.
Il n’y a pas de thérapie miracle pour un problème aussi complexe et multifactoriel: cela se saurait. Néanmoins, il m’apparaît capital d’essayer, au moins sur deux ou trois séances, car chez certains patients cela peut amener un changement assez rapide et radical (comme d’ailleurs pour un certain nombre d’autres problèmes dont je parlerai dans un prochain article « clinique » et pour lesquels la médecine allopathique n’a pas vraiment de solution). Le plus souvent, les patients ont une amélioration lente, progressive, qui peut nécessiter un suivi (quelques séances dans l’année ) avec suffisamment de recul pour laisser le corps intégrer les changements entre chaque séance. Si j’avais un dernier message à faire passer, pour finir, ce serait qu’il ne faut pas baisser les bras, et continuer à chercher des solutions; ces solutions doivent nécessairement s’inscrire dans une démarche de soin globale, et c’est pour moi l’état de fonction ou de dysfonction du système nerveux qui est la clé du mécanisme.